【症例】インビザライン矯正|すきっ歯でお悩みだった20代女性①
症例
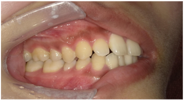
治療前

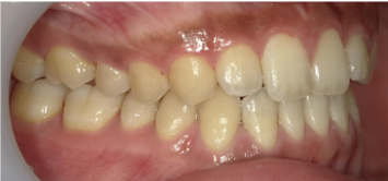
治療後

治療前

治療前

治療後

治療後

治療前

治療後

| 術名 | 成人矯正 |
|---|---|
| 年齢・性別 | 20代女性 |
| 主訴 | 上の前歯の隙間と下の前歯のガタガタが気になる |
| 診断名 | 下顎前突、叢生 |
| 治療内容 | マウスピース矯正 |
| 治療期間 | 14か月(通院回数15回) |
| 費用 | 82万円(検査・調整料込) |
| リスク・副反応 | 疼痛、咬合違和感等 |
院長より当時のエピソード
前歯のガタガタが気になるとご来院いただいた患者様です。
iTeroで口腔内をスキャンし、セファロレントゲンとCT撮影での診断の結果、前歯のガタガタとは別に奥歯が受け口の状態で噛み合っていることがわかりました。
そのため部分矯正ではなく、全顎の矯正をご提案。診断で撮影した画像を一緒に確認しながら奥歯が受け口の噛み合わせの状態で治療が終了すると、後戻りしてしまうリスクが高いことを説明させていただきました。
当院ではその場しのぎの治療ではなく、長期的に見たときに患者さんが一番健康なお口でいられることを目指しています。
患者さんにも納得いただき、全顎のマウスピース矯正(インビザライン矯正)となりました。
当院ではお写真撮影をしながら治療の経過を一緒に確認していきます。